?梅花鹿源A型产气荚膜梭菌的分离鉴定、测序、毒素型、生化、耐药性分析(三)
2.4药敏试验
药敏试验结果如表2所示,该菌株对阿米卡星、多黏菌素 B、链霉素、卡那霉素、克林霉素、复方新诺明多重耐药,对氨基糖苷类药物耐药最为明显,对β-内酰胺类药物最为敏感。
Sample.分离株样本M.DNA相对分子质量标准;1.cpa基因;2.cpb基因;3.etx基因;4.Iota基因;5.NetB基因;6.cpe基因M.DNA marker;1.cpa gene;2.cpb gene;3.etc gene;4.Iota gene;5.NetB gene;6.cpe gene
图4毒素基因PCR扩增结果电泳图
图3 16S rRNA基因系统进化树
表2药敏试验结果
R.耐药;S.敏感;I.中介
2.5小鼠半数致死量检测及病理观察
通过预试验得出分离株的LD。为3.28x 10^{7}CFUcdot mL{}^{-1},text{LD}_{100}为1.76times 10^{8}CFUcdot mL{}^{-1},根据公式计算出r=1.52,根据公比r设置各组攻毒菌液浓度分别为3.28x107 CFU·mL-1(D1)、4.9810^7,CFUcdot mL^{-1}left(D2right)、7.58times 10^7,CFUcdot mL^{-1}left(D3right)1.15X108 CFU·mL{}^{-1}(D4)、1.76times 108 CFUcdot mL{}^{-1}(D5),对照组小鼠腹腔注射0.4mLPBS(H)。注射后2h所有小鼠均不喜动,D4、D5组小鼠部分被毛凌乱、扎堆。4hD1、D2、D3组开始出现被毛凌乱、扎堆症状,D3组一半小鼠精神状态极差,D4、D5组小鼠被毛凌乱加重,D4组死亡3只,D5组死亡2只。6hD3组死亡2只,D4组死亡1只,D5组死亡4只。8hD4组死亡1只。10hD4组死亡1只,D5组死亡2只。20hD2组死亡1只。H组未有
小鼠死亡。各组未死亡小鼠精神状态恢复,被毛依然凌乱。根据各组小鼠死亡情况,使用SPSS19.0软件录入数据,当P=0.5时,LD{}_{50}为7.99x 10^{7}CFUcdot mL,95%置信区间为6.28times 10^{7}sim 1.02x108 CFU·mL1。
剖检病死小鼠观察,肝脏肿大,颜色暗淡,质地较脆;脾脏肿大;肠黏膜出血,肠壁变薄,肠道臌臌气,小肠内有黄色分泌物,与D2、D3组相比D4、D5组肠黏膜出血和肠壁变薄症状更为明显,其余组织未见明显异常。从试验组小鼠病理组织中分离到A型产气荚膜梭菌。
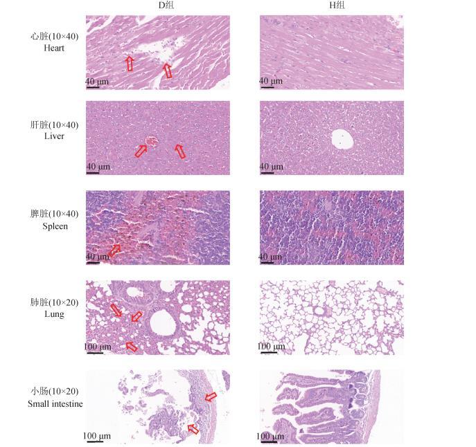
组织病理切片观察见图5,与对照组小鼠对比,试验组病死小鼠心肌纤维断裂、心肌充血;肝小叶中央静脉充血,肝窦充血,肝细胞部分索状结构消失;脾脏红髓几乎全由红细胞充满;肺泡上皮细胞增生,组织间隙出血,大量炎性细胞渗出;小肠部分黏膜上皮断裂脱落进肠腔,D2、D3、D4组部分肠绒毛结构消失,固有层裸露,有炎性细胞浸润,充血,D5组几乎没有完整肠绒毛。
D.试验组;H.健康对照组
图5小鼠组织HE染色结果
3讨论
产气荚膜梭菌可分泌多种毒素,其中主要致病毒素有CPA、CPB、ETX、Iota、NetB、CPE6种,根据这6种毒素可将产气荚膜梭菌分为A、B、C、D、E、F、G七种毒素型。本试验分离株经16S rRNA基因测序和PCR分型鉴定,确定为A型产气荚膜梭菌。攻毒小鼠致死,并从组织病料中分离到相同菌株,验证了该分离株的致病性。产气荚膜梭菌在猪、牛、羊、鸡、兔等11种畜禽中广泛流行,甚至有在野生动物中流行的趋势。国内最早于1992年由孙立民等在患肠毒血症的鹿中鉴定出D型产气荚膜梭菌。随后陆续在新疆、东三省、云南、河北、山东等地报道产气荚膜梭菌感染鹿的案例,其中东北地区的报道最多,主要流行的为A型产气荚膜梭菌,与本试验的结果一致。罗润波等对分离的432株产气荚膜梭菌做了26种药物的敏感性测试,其中98.61%的分离株表现为多重耐药。本试验对分离株进行了21种药物的敏感性测试,同样表现出多重耐药??股匾┪锏睦挠每赡苁遣≡嘀啬鸵┑闹饕?,因此,在生产中应该合理规范地使用药物,避免病原菌产生多重耐药。
产气荚膜梭菌的入侵机体后,会引发炎症反应,进而导致各组织器官出现炎性细胞浸润。A型产气荚膜梭菌产生的外毒素主要为a毒素,a毒素在钙离子的作用下与细胞膜结合,通过溶解脂类化合物破坏细胞膜,是一种具有酶活性的含锌金属蛋白,具有溶血性,还会引起血管收缩和血小板凝集,这可能是引起攻毒小鼠各组织器官广泛充血的原因。产气荚膜梭菌存在于正常动物肠道菌群中,攻毒菌液改变了小鼠肠道内环境,导致产气荚膜梭菌异常增殖并大量产气使肠道鼓气充盈,肠壁变薄,与王璞等、吴洁的研究结果一致。本试验在肾脏和肠内容物中检测到a毒素,表明该动物体内的产气荚膜梭菌已大量分泌a毒素并随着血液循环到了肾脏。
动物模型是现代兽医科学研究中极为重要的试验方法和手段,有助于更方便、更有效地认识疾病的
发生、发展规律和研究防治措施。本试验用A型产气荚膜梭菌攻毒小鼠致死,且从小鼠病理组织中分离到相同菌株,验证了该菌株的致病性。感染小鼠出现精神萎靡、腹围增大,肝脏肿大,颜色暗淡,质地较脆。脾脏肿大,肠黏膜出血,肠壁变薄,肠道臌臌气等病理症状,与鹿感染产气荚膜梭菌的病理症状相似。该结果表明,本试验的小鼠感染模型很大程度模拟了梅花鹿感染A型产气荚膜梭菌的病理特征。
4结论
本试验成功分离鉴定出一株鹿源产气荚膜梭菌,并验证了其致病性。检测该菌株的耐药性,可为临床用药提供参考依据。建立了小鼠感染模型,为构建A型产气荚膜梭菌鹿感染模型提供参考,也可用于进一步研究A型产气荚膜梭菌相关疫苗的免疫评价。
相关新闻推荐
2、Comammox全程氨氧化菌的生理、代谢特性、在自然环境中分布与影响(二)
3、水貂肠道乳酸杆菌RSJ生长曲线及产酸、药敏试验结果(二)
