耐碳青霉烯类肺炎克雷伯菌生长曲线测定及对线虫毒力作用(二)
1.5线虫侵染实验
1.5.1线虫复苏及同步化取冻存的线虫室温融化,用10 mL M9缓冲液洗涤,静置后弃上清液。将线虫沉淀加入到含有E.coli OP50的NGM发育板上,20℃培养2~3 d,期间显微镜下观察线虫发育情况、密度及产卵情况,直到平板上有大量虫卵或者线虫体内有大量虫卵。用3 mL M9缓冲液将线虫及虫卵从平板上冲洗下来,得到的混悬液装到15 mL离心管,离心弃上清。用5 mL M9缓冲液洗涤、离心、弃上清,尽量将细菌洗净,剩余沉淀即为线虫和虫卵。加入2倍体积的线虫裂解液,剧烈漩涡震荡5 min直至液体变得清亮,离心弃上清。此时剩下的沉淀为虫卵,加入10 mL M9缓冲液重悬虫卵,离心弃上清,重复两次,以去除残余的线虫裂解液。再加入1 mL M9缓冲液重悬虫卵,吸取1~2μL虫卵液至载玻片上推开,在显微镜下观察虫卵数量及裂解效果,将重悬后的虫卵倾斜放置于20℃培养箱孵化,16 h后得到同步化的线虫幼虫。将线虫幼虫加入NGM发育板中,20℃培养45~54 h得到同步化的线虫成虫。
1.5.2线虫侵染
在NGM培养基中加入0.2 mmol/L的氟尿苷(Floxuridine,FUDR)以抑制线虫繁殖,倒板,取过夜培养的单克隆菌液用M9缓冲液稀释25倍后铺至无抗生素的NGM平板,配置成NGM检测板,对照组采用肺炎克雷伯菌ATCC10031和ATCC700603菌株配置。将同步化的线虫成虫用M9缓冲液从发育板上洗脱下来,离心弃上清,加入适量M9缓冲液重悬,取适量重悬后的线虫加到NGM检测板及NGM对照板上,在体式解剖镜下计数线虫数量,控制每个平板线虫数为(50±5)条,每个分离株做两个平行检测板,整体实验重复两次。
1.5.3绘制线虫生存曲线
每天同一时间段在显微镜下观察线虫的存活情况,记录每日死亡数量,线虫死亡的判定标准:虫体僵直,肿胀破裂,轻轻敲打平板线虫仍不能运动。利用GraphPad Prism 6.0软件绘制线虫生存曲线,Log-rank检验法对组间数据进行差异显著性分析,P<0.05为差异有统计学意义。
2结果
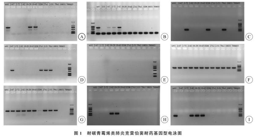
2.1细菌耐药基因型鉴定10个分离株耐药基因鉴定结果见图1、表2。
图1耐碳青霉烯类肺炎克雷伯菌耐药基因型电泳图
表2耐碳青霉烯类肺炎克雷伯菌耐药基因型鉴定及MLST序列分型
2.2细菌菌种鉴定及ST分型
通过对10个分离株进行16S rRNA基因验证,对sanger测序结果进行Blastn比对,确认10个分离株均为肺炎克雷伯菌;对七个管家基因PCR扩增后测序,MLST等位基因比对后,得到5种ST类型,其中ST-11型和ST-290型各三株、ST-395型两株、ST-340型和ST-437型各一株。见表2。
2.3菌株生长曲线
根据碳青霉烯类耐药基因鉴定结果,对分离株进行分组(表3),绘制生长曲线。在没有抗生素压力下,各组菌株生长趋势基本一致,在2~5 h处于指数生长期,细菌生长迅速;第5~24 h生长曲线趋于稳定,处于平台期,体系MCF值趋于稳定,各组生长曲线差异无统计学意义(P>0.05)(图2A)。在2 mg/mL亚胺培南压力下,对照组全程未见生长,所有分离株均在4 h后才开始进入指数生长期,6 h后进入平台期(图2B),携带单个耐药基因组中blaIMP组细菌总量最低,其次为blaKPC组;携带双耐药基因组中blaKPC+blaNDM组、blaIMP+blaOXA组细菌总量最高。采用Kruskal-Wallis检验法对组间数据进行差异显著性分析发现,除blaNDM组、blaOXA组与blaNDM+blaOXA组比较没有差异,携带单个耐药基因与携带双耐药基因对细菌的生长适应性和细菌总量有不同的影响,差异均有统计学意义(P<0.001)(图3)。在8 mg/mL亚胺培南压力下,对照组全程未见生长,其余各组菌株表现出不同程度的适应性差异(图2C)。其中blaKPC组、blaKPC+blaNDM组最快进入指数生长期(4~6 h),其次为blaNDM组,blaOXA组在第14 h才开始生长,15~17 h处于对数期;blaKPC组在从16 h开始曲线出现下降趋势进入衰亡期。细菌总量以blaKPC+blaNDM组最高,blaIMP+blaOXA组最低。采用Kruskal-Wallis检验法对组间数据进行差异显著性分析发现,单耐药基因组中blaNDM组和blaIMP组适应性强于blaOXA组,差异具有统计学意义(P<0.001);双耐药基因组中blaKPC+blaNDM组和blaNDM+blaOXA组分别比单耐药基因组blaKPC和blaOXA生长适应性强,差异具有统计学意义(P<0.001),见图4。
表3根据菌株携带的碳青霉烯类耐药基因分组
图2不同抗生素浓度下各菌株的生长曲线
图3 2 mg/mL亚胺培南培养基中各组细菌总量的两两比较
图4 8 mg/mL亚胺培南培养基中各组细菌总量的两两比较
相关新闻推荐
1、模拟失重条件下大肠埃希菌转录组测序、差异基因及富集分析结果(二)
