研究发现:微生物群释放气味可促进果蝇的宿主生长
尽管现在普遍接受微生物群对动物生长有促进作用,但其确切机制仍不清楚。基于此,2025年3月4日韩国首尔国立大学生物科学学院Won-Jae Lee研究团队在Nature communications杂志发表了“Microbiome-emitted scents activate olfactory neuron-independent airway-gut brain axis to promote host growth in Drosophila”揭示了微生物群释放的气味激活了独立于嗅觉神经元的呼吸道-肠-脑轴,以促进果蝇的宿主生长。
作者的研究表明,微生物群释放的气味中含有挥发性生长因子(VSFs),这些因子能够在不依赖嗅觉的情况下促进果蝇的宿主生长。发现吸入的VSFs能够被非神经元表达的嗅觉受体42b所感知,这种受体存在于部分气道细胞、肠内分泌细胞和肠上皮细胞中。不依赖嗅觉的VSFs感知通过调节Hippo、FGF和胰岛素样生长因子信号通路激活了呼吸道-肠-脑轴对于气道分支、器官供氧和身体生长是必需的。还发现一种不能产生(2R,3R)-2,3-丁二醇的突变型微生物群无法激活促进宿主生长的呼吸道-肠-脑轴。重要的是,强制吸入(2R,3R)-2,3-丁二醇完全逆转了这些缺陷。对宿主与微生物群之间接触无关且嗅觉独立的空气传播相互作用的发现,为理解在微生物控制下的宿主发育过程中呼吸道-肠-脑轴的作用提供了新的视角。该研究揭示了微生物群通过特定挥发性分子影响宿主生长的新机制,强调了这种机制不依赖于传统的嗅觉路径,并涉及复杂的信号传导途径来促进生物体的发育和健康。此外,研究还展示了特定分子如(2R,3R)-2,3-丁二醇的关键作用及其在恢复宿主正常生长中的潜力。这一发现有助于深入理解微生物群与宿主之间的复杂互动关系。
图一微生物群释放的气味以不依赖嗅觉的方式促进宿主生长
作者最初使用LPWJL(一种已知能诱导果蝇和啮齿动物营养不良模型中宿主生长的植物乳杆菌)研究了微生物群衍生的生长刺激因子。通过利用无菌果蝇模型分析不同微生物因子对宿主生长的影响,发现在微生物与宿主细胞没有物理接触的情况下吸入LPWJL挥发物也能促进无菌动物的生长。为了探究由VSF引起的生长增益不仅仅归因于VSF对幼虫进食行为的刺激,比较暴露于VSF和未暴露于VSF的幼虫的食物摄入量。考虑到暴露于VSF超过72小时后产卵的幼虫比对照组幼虫更大,因此表现出更高的食物摄入量,在VSF暴露和未暴露的幼虫大小相似时测量了食物摄入量。结果表明,吸入LPWJL挥发物不影响幼虫的进食行为。有研究表明微生物群释放的气味影响社交行为,如配偶选择或巢友识别。由于不同的气味分子很容易被嗅觉受体(ORs)在嗅觉受体神经元(ORNs)中感知,作者于是探究ORNs是否介导了LPWJL诱导的宿主生长。
当让已知的“嗅盲”ORCO?/?动物暴露于LPWJL挥发物时,LPWJL释放的气味仍然支持它们的生长。这些结果表明,由LPWJL释放的气味诱导的宿主生长独立于嗅觉,即不依赖于ORNs的气味感知。虽然认为ORs的表达仅限于嗅觉器官,但最近的数据揭示了ORs在果蝇和哺乳动物的非嗅觉器官中也存在。作者进一步监测了在不存在或存在LPWJL挥发物的情况下这些ORs的表达。结果显示,暴露于LPWJL挥发物后,OR42b显著上调。使用携带融合到Gal4的OR42b启动子的果蝇分析肠道中OR42b表达显示,吸入LPWJL挥发物后,OR42b主要在前中肠区域的肠上皮细胞中检测到。此外,OR42b表达也在前胃和中肠之间的边界区域以及位于后中肠区域的部分肠内分泌细胞中检测到。综上所述,OR42b不仅在其已知的嗅觉器官中表达,还在非嗅觉细胞中表达。此外,肠道OR42b响应于LPWJL释放的气味而被诱导表达。
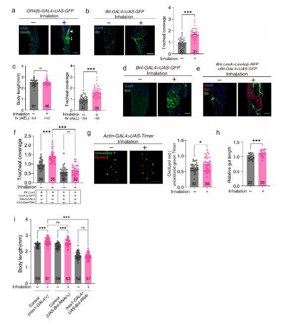
图二LPWJL挥发物促进气管分支形成
在对OR42b-Gal4>UAS-GFP果蝇的肠道进行解剖时,作者通常观察到前中肠表达OR42b的肠上皮细胞与同样表达OR42b的肠道相关气管接触。气管系统由遍布全身的分支管状上皮网络组成,作为呼吸器官允许气体分子(如氧气)通过并促进后续的气管分支形成。Btl信号激活诱导气管分支形成,并且这种激活也增强了Btl的表达,形成了一个正反馈环路。由于LPWJL挥发物促进了幼虫生长,暴露于VSF的幼虫比未暴露的同龄幼虫更大。为了确认暴露于VSF后增强的气管Btl表达不仅仅是由于幼虫体型较大,将相似大小的幼虫进行了比较。结果显示,140小时AEL的VSF暴露幼虫仍然表现出比164小时AEL的未暴露幼虫更高的气管分支形成。这些发现表明,气管形成的Btl激活归因于暴露于LPWJL挥发物,而不是幼虫大小或发育阶段的差异。接下来研究了LPWJL挥发物诱导气管Btl信号激活的分子机制。
结果发现,Bnlcopper和Bnlposterior表达是恒定的,而Bnlanterior表达在同一前中肠区域是可诱导的。双重标记Bnl和Btl表达证实,暴露于LPWJL挥发物后,肠上皮细胞中的Bnl表达和气管细胞中的Btl表达均增强。下调肠上皮细胞中的Bnl表达减少了基础和LPWJL诱导的气管分支形成,表明肠上皮细胞中LPWJL诱导的Bnl对于气管分支形成是必需的。此外,作者发现暴露于LPWJL挥发物后,肠道氧浓度和肠道大小增加。进一步发现,下调肠上皮细胞中的Bnl表达消除了LPWJL挥发物的生长促进效应。综上所述,LPWJL挥发物通过Bnl/Btl信号通路激活呼吸道-肠道轴,调节器官中的氧气供应,从而促进身体生长。
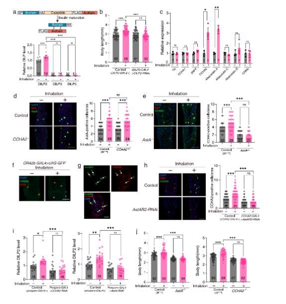
图三LPWJL挥发物诱导肠-脑轴以促进全身生长
先前的研究表明气管分支与胰岛素/IGF信号通路之间有密切关系,这些信号通路调控宿主的发育速率以及器官和身体大小。为了评估胰岛素/IGF是否介导了LPWJL挥发物依赖的生长促进作用,研究人员首先检测了昆虫类似血液的血淋巴中循环胰岛素/IGF的水平。果蝇中有三种主要的胰岛素样肽(DILP2、DILP3和DILP5)由脑中的胰岛素/IGF生成细胞(IPCs)分泌。通过酶联免疫吸附试验研究发现DILP2是幼虫血液循环中的主要形式,占IPC分泌的DILPs的约90%。进一步研究表明,暴露于LPWJL挥发物后,只有DILP2的循环水平显著增加,而DILP3和DILP5没有变化。特异性敲低脑中DILP2足以消除LPWJL挥发物诱导的动物生长。接下来的研究重点是LPWJL挥发物如何与大脑IPC进行长距离通信的分子机制。
监测LPWJL挥发物改变的肠道激素表达,发现两种肠道肽激素allatostatin-A(AstA)和CCHAmide-2(CCHA2)在一部分肠内分泌细胞中被LPWJL挥发物显著上调。这些数据表明LPWJL挥发物增加了分泌AstA或CCHA2的EECs比例,并且AstA对于LPWJL挥发物诱导的CCHA2表达是必需的。重要的是,OR42b特异性地在AstA+EECs中表达,而AstA受体2(AstAR2)与CCHA2共定位,并且AstAR2对于VSF诱导的CCHA2表达是必需的。这些结果表明,LPWJL挥发物首先诱导OR42b表达的EECs中AstA的表达,然后AstA通过AstAR2表达的EECs进一步诱导CCHA2的表达。最后,研究发现LPWJL挥发物诱导的肠道AstA和CCHA2激素对于脑中IPC分泌DILP2是必需的,从而形成促进全身生长的生长轴。具体来说,敲低肠道AstA或CCHA2消除了LPWJL挥发物诱导的DILP2分泌,且单个激素的突变足以消除LPWJL挥发物诱导的身体生长。综上所述,LPWJL挥发物诱导的肠道AstA和CCHA2激素对于脑中IPC分泌DILP2是必要的,从而形成肠-脑轴以促进全身生长。
图四微生物群释放的(2R,3R)-2,3-丁二醇通过不依赖嗅觉神经元的感知激活生长促进的呼吸道-肠-脑轴模型总结
该研究揭示了微生物组释放的气味激活不依赖嗅觉神经元的气道-肠-脑轴,以促进果蝇的宿主生长,强调了微生物群在调节宿主生理功能中的重要作用。
相关新闻推荐
1、?KLK5过表达促进宫颈癌移植瘤生长曲线并降低顺铂化疗敏感性的实验研究(三)
