肺炎克雷伯菌生长曲线及小鼠肺炎模型构建
肺炎克雷伯菌是存在于正常人肠道及呼吸道的重要的条件致病菌,它可黏附于机体腔道黏膜表面,分泌多糖基质,形成生物被膜。
细菌形成生物被膜后,常使感染变得难治、易复发。由于胞外黏多糖的屏障作用、通过影响宿主免疫功能及细菌的基因表达等作用,而使其对抗生素产生耐药。本文将通过肺炎克雷伯菌滴鼻感染小鼠,构建肺炎模型进行案例分析,给与头孢氨苄治疗评估药效。
表1.动物实验分组及给药
用接种环刮取平板上的全部菌落,分别接种到含有5mL新鲜LB液体培养基中,37℃、150r/min振荡培养至OD600约为0.6-0.8。将菌液依次稀释为10的负一次方,10的负二次方至10的负九次方,测定OD600,并分别涂板统计菌落数,计算OD值与CFU做生长曲线。
菌体培养离心后用无菌的PBS洗涤重悬3次,根据OD值和生长曲线将菌液调整至合适的稀释度、经呼吸麻醉后滴鼻感染。
小鼠经滴鼻感染后给药组给与头孢氨苄治疗(15mg/kg,灌胃),每天一次。
D0采集空白血清,攻毒后观察动物体重及存活率,根据体重及存活情况暂定感染后于D3,D5每剂量组随机处死1只,采集血液和肺脏灌洗液测细菌载量,肺脏取样做HE。
检测指标:
眼眶取血,静置1h,室温离心2500 rcf 15min分离血清,-80摄氏度存储。
取小鼠全部肺脏,一部分进行细菌载量测定,另一部分4%PFA固定后进行HE染色。
将菌液依次稀释为10的负一次方,10的负二次方至10的负九次方,测定OD600,并分别涂板统计菌落数,计算OD值与CFU计算生长曲线。
图1.肺炎克雷伯菌生长曲线
实验动物的体重作为间接测定感染及治疗效果参考指标。研究期间体重测量频率为1次/天,动物体重的变化趋势如图2所示。小鼠经滴鼻感染后体重持续下降,随着感染细菌量增加体重下降越明显,经头孢氨苄治疗体重下降趋势减缓。
图2.不同组别小鼠体重变化趋势
肺炎克雷伯菌LD50为6.9*106 CFU/只,滴鼻攻毒后D2-D3小鼠症状最明显,体重下降严重,陆续出现死亡,小鼠经过头孢氨苄治疗后状况优于未治疗组;由于菌株毒力较强,攻毒低剂量组存活率高于高剂量组。
图3.不同组别小鼠生存曲线
小鼠肺脏组织细菌载量随着接种量的增加而增加,G4组肺组织细菌载量为3.12*108,G2组细菌载量为6.1*108。给与头孢氨苄治疗后细菌载量明显下降,G1组细菌载量为2*108(图4)。
图4.不同组别小鼠肺脏组织细菌载量
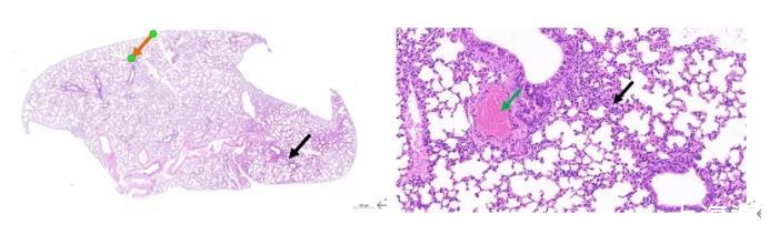
图5:对照组肺脏组织
肺脏组织的被膜结构清晰;肺脏实质为肺内支气管各级分支及其终末的大量肺泡,灶性肺泡壁轻度增厚(黑色箭头),肺泡间隔增宽;各级支气管结构无明显异常;少量血管周围结缔组织排列疏松(橙色箭头);少量血管淤血(绿色箭头);未见明显的炎性细胞浸润。
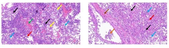
图6:1*108CFU/只感染组肺脏组织
肺脏组织的被膜结构清晰;肺泡壁薄,大范围肺泡上皮细胞坏死(黑色箭头),胞核溶解,胞质嗜酸性增强;肺泡腔内广泛可见以巨噬细胞、淋巴细胞及粒细胞为主的炎性细胞渗出(蓝色箭头),并可见坏死细胞碎片及少量嗜酸性物散在分布(红色箭头),少量肺泡扩张(灰色箭头),体积增大;大量支气管及细支气管腔内可见炎性细胞渗出及坏死细胞碎片(橙色箭头);此外,细支气管及肺泡腔内可见大量的蓝紫色点状物细菌聚集(黄色箭头);组织内可见大量的出血灶(棕色箭头),肺泡腔、细支气管及血管周围可见多量的红细胞;多见肺泡壁毛细血管淤血(紫色箭头);少量血管淤血(绿色箭头)。
肺炎克雷伯菌小鼠LD50为6.9*106 CFU/只,滴鼻攻毒后D2-D3小鼠症状最明显,体重下降严重,陆续出现死亡,小鼠经过头孢氨苄治疗后状况优于未治疗组;由于菌株毒力较强,攻毒低剂量组存活率高于高剂量组。
小鼠肺部组织HE显示肺炎克雷伯菌感染肺部,导致以巨噬细胞、淋巴细胞及粒细胞为主的炎性细胞渗出,大量支气管及细支气管腔内可见炎性细胞渗出及坏死细胞碎片,细支气管及肺泡腔内可见大量的蓝紫色点状物细菌聚集。
相关新闻推荐
2、银杏黑斑病和轮纹病病菌生长、产孢试验和孢子萌发试验(二)
