VgrS受体细菌组氨酸激酶在NYG培养基中的的生长曲线图
革兰氏阴性细菌作为一种单细胞生物,这类细菌在感知外界刺激的过程中,主要利用细胞内膜上的受体监测环境信号。其中,受体组氨酸激酶以蛋白可逆磷酸化方式(磷酸化-脱磷酸化)完成环境信号的跨膜传递和信号转导,发挥着类似高等动物中枢神经系统的作用,因而被研究人员形象地称为细菌的“智商(IQ)”。本论文的研究人员发现细菌周质空间蛋白酶以不可逆、高度特异的方式修饰细菌的“IQ”,促进细菌抗逆胁迫水平。该研究从遗传学、酶学和生物物理学方面提出了充分的证据,证明上述过程对于细菌适应胁迫环境的重要意义。
实验步骤
使用Biosense微生物生长动态监测系统测试了不同类型的细菌及细菌突变体在NYG培养基中的的生长曲线图,培养维温度为37度,培养时间为18-84h,每隔30分钟测试一次OD600值,培养过程中摇晃、生长及OD值的测试全是自动完成的,从而能够长时间准确的测试出不同类型的细菌在不同条件下的生长情况,获得相应的生长曲线图。
实验结果
在细菌细胞中,组氨酸激酶(HKs)是一种受体,可以监测环境和细胞内刺激。HKs及其同源反应调节因子构成两个部分信号系统(TCSs),通过可逆的蛋白质调节细胞的稳态磷酸化。然而在病原细菌-野油菜黄单胞菌感染植物的过程中,有一个名为VgrS的受体组氨酸激酶发挥着关键作用。VgrS感知寄主体内由固有免疫反应产生的缺铁环境,调节病原细菌从寄主中争抢和吸收铁的过程。VgrS突变或失活后会导致细菌铁代谢紊乱,致病力严重下降。然而,VgrS的功能具有两面性。当细菌面对高渗胁迫时,VgrS信号通路的激活会严重阻碍细菌的生长。为了迅速淬灭该通路,细菌周质空间内的蛋白酶Prc结合到VgrS位于氨基端的信号感知区域,随即以一种“掐头不去尾”的方式,特异性切割前9位氨基酸并且抑制VgrS的激酶活性。VgrS被Prc特异性切割失活是细菌对抗高渗胁迫的前提条件。
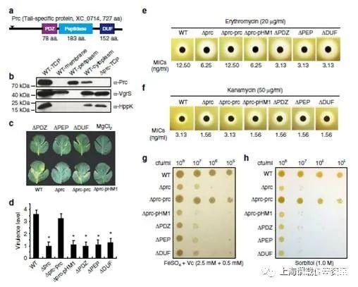
图1、图a表示的是Prc蛋白质二级结构示意图。图b表的是Prc蛋白是位于细菌周质和细胞溶胶中,采用的是采用Western blot技术检测不同细胞组分的Prc蛋白。图c表示的是Prc的失活导致了细菌的毒力的不足。图d表示的是在图c中对应的菌株的毒性评价图,采用了半定量标准测定了菌株的毒力水平。图e、f表示的是该突变体对多种抗生素(红霉素e和卡那霉素)敏感性。图g表示的是Pcr的失活导致了对铁胁迫的过敏,菌株的培养是在含有2.5mM FeSO4+0.5mM维生素C的NYG琼脂上,于28℃条件下培养72 h。图h表示的是Prc的失活导致了对渗透应力的过敏。
图2、Prc是一种丝氨酸内肽酶。Prc可降解β-酪蛋白,其内肽酶活性依赖于Ser475和Lys500。图b表示的是通过降解底物的偶氮杂蛋白酶定量研究Prc内肽酶活性。图c和图d表示的是偶氮酪蛋白水解酶活性的迈克尔-门登动力学拟合曲线。
图3、Prc通过切割VgrS的敏感区域来抑制其自身激酶活性。图a-图c表示的是Prc以蛋白酶活性依赖的方式抑制全长VgrS的自磷酸化过程。图d-图e表示的是Prc在体外降解了VgrS感知寄主体。图f表示的是Western blotting显示Prc在体内降解n-末端HA-tags。
图4、vgrS n端缺失抑制了突变体在渗透胁迫下的生长缺陷。图a、c、e和g表示的是细菌在NYG培养基中的生长曲线图。图b、d、f和图h表示的是细菌在NYG培养基加上1.0M山梨醇的生长曲线图。用丹麦Biosense微生物生长动态监测系统测定其其相关的生长曲线分析图。每个数据点是六个样本的平均值。
图5、VgrS蛋白水解引起的细菌应激反应模型。当细菌在渗透胁迫下生长时,Prc被激活并分裂n端肽(NRNIDFFA)对VgrS的感测区具有抑制作用,导致后者的自身磷酸化。
总结
研究发现在病原细菌-野油菜黄单胞菌感染植物的过程中,VgrS的受体组氨酸激酶发挥着关键作用。本论文研究从遗传学、酶学和生物物理学方面提出了充分的证据,证明VgrS突变或失活后会导致细菌铁代谢紊乱的作用,这对于细菌适应胁迫环境的重要意义。同时研究结果也提示以病原细菌的重要受体作为分子作用药靶时,在特定生存环境中反而有可能提高细菌的适应能力。研究过程中为了获得VgrS的受体细菌的生长特性的影响,应用了丹麦Biosense微生物生长动态监测系统测试了不同类型的细菌及细菌突变体在NYG培养基中的的生长曲线图。该Biosense微生物生长动态监测系统能够长时间的同时平行测试多个类型的细菌菌株样品的生长曲线,并且所有的过程都是自动化的,为研究人员提出关于组氨酸激酶VgrS蛋白对于细菌适应胁迫环境的相关机理提供了重要的数据支持。这说明全自动生长曲线分析仪能够很好的了解不同类型的病菌的生长情况,这能够为研究人员今后以病原细菌的重要受体作为分子作用药靶时,在特定生存环境中反而探索有可能提高细菌的适应能力方面进行更为全面、深入的研究。
相关新闻推荐
1、拮抗菌生长曲线测定、鉴定及对烟草赤星病室内防治效果(一)
