本试验从死亡家兔肺脏中分离到 1 株支气管败血波氏杆菌,测定了该分离株的生长曲线,确定其对数生长期为 2~9 h,处于该时期的细菌活力及致病力均最强。 ...
欢迎来到BioSense网站!
本试验从死亡家兔肺脏中分离到 1 株支气管败血波氏杆菌,测定了该分离株的生长曲线,确定其对数生长期为 2~9 h,处于该时期的细菌活力及致病力均最强。 ...
挑取分离株单个菌落,接种于 5% 血清 TSB 固体培养基上,连续接种两次。挑取 TSB 培养基上的单菌落接种到 10 mL 的 LB 液体培养基中, ...
试验所用菌株是从死亡家兔肺组织病料中分离得到,经测序鉴定为支气管败血波氏杆菌,试验对其进行生长曲线测定,以了解其生长规律。同时用分离株测定其对 SPF ...
生长能力测定结果显示,缺失株Δlmo1508/lmo1509与亲本株10403S在BHI培养基中的生长趋势相似(图7),表明lmo1508/lmo15 ...
婴幼儿是侵袭性NTS感染的高发人群。当前NTS耐药情况比较严峻,哌拉西林他唑巴坦可能是治疗儿童多重耐药NTS感染的有效选择,而硝基呋喃类抗菌药物可能也 ...
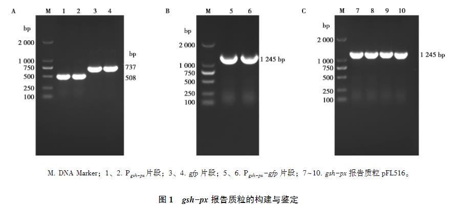
利用生物信息学分析获得gsh-px基因上游的启动子序列,以10403S基因组和质粒pFL251为模板分别扩增出508 bp的gsh-px启动子Pgsh ...
分别从亲本株10403S、缺失株Δlmo1508/lmo1509的固体平板上挑取单菌落接种于液体BHI中,37 ℃条件下振荡培养过夜,以1∶100比例 ...
选取双元调控系统lmo1508/lmo1509进一步研究发现,在非胁迫和金属离子胁迫条件下双元调控系统lmo1508/lmo1509缺失株的gsh-p ...
本研究通过丝裂霉素C成功诱导出携带耐药基因blaCTX-M-27的P1-CTX噬菌体-质粒,其效价为106 PFU·mL-1,耐强碱而不耐强酸,且其对 ...
噬菌体的裂解周期,其增殖过程包括五个阶段,分别为吸附、核酸注入、DNA合成、噬菌体粒子组装和裂解细胞释放。噬菌体的吸附、增殖和裂解可用一步生长曲线描述 ...